Is that pain and swelling in your heel and foot area plantar fasciitis? Or could it be another fairly common condition, known as bursitis?
While the majority of cases involving heel pain turn out to be plantar fasciitis, numerous other conditions can cause heel pain. Knowing the difference between them can help you quickly identify and seek the proper treatment for your pain, allowing you to get back on your feet quickly and without complications.
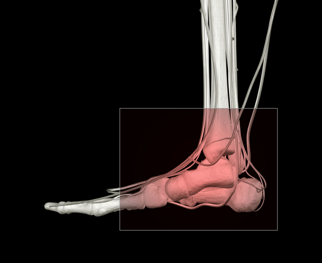
What Is Bursitis?
Bursitis is an inflammatory condition that affects the bursae, or tiny fluid-filled sacs located near the joints in your body. Under normal conditions, these sacs help your joints move smoothly and play a role in protecting and cushioning different parts of the joint as you move, like tendons, ligaments, and muscles. Bursitis develops when these fluid-filled sacs become inflamed, swollen, and painful.
While bursitis can develop at any place in the body where a bursa is located, there are two bursae near the heel that can cause heel pain. The first, known as the retrocalcaneal bursa, is located at the back of your ankle near the heel, where your Achilles tendon meets the end of your calf muscle. The second, known as the Retroachilles bursa, is located between the skin at the back of your heel and the Achilles tendon. When either or both bursae become inflamed and swollen, the condition is known as Retrocalcaneal bursitis or Achilles bursitis.
Common Causes of Retroachilles and Retrocalcaneal Bursitis
Retrocalcaneal bursitis can be caused by many of the same activities that trigger plantar fasciitis or Achilles tendonitis, including overuse from high-impact activities like running or sports that involve a lot of jumping. Uphill running is a particularly high-risk activity for retrocalcaneal bursitis, since the flexed position of the foot during impact means increased contact with the retrocalcaneal bursa. This type of bursitis can also be caused by deformities in the foot, such as Haglund’s deformity, as well as injury or trauma to the foot.
Retroachilles bursitis almost always caused by poorly fitting shoes that rub or dig into the back of your heel. Over time, the Retroachilles bursa becomes irritated, inflamed, swollen, and painful.
Both retrocalcaneal and Retroachilles bursitis are also commonly associated with other conditions that cause trauma to the foot, including Achilles tendonitis, plantar fasciitis, heel spurs, and rheumatoid arthritis.
Symptoms of Retroachilles and Retrocalcaneal Bursitis
Retrocalcaneal and Retroachilles bursitis can occur at the same time, and the symptoms for both conditions are very similar. Visible swelling is the most common hallmark of bursitis, as well as inflammation, redness, and pain that develops gradually. In the case of Retroachilles bursitis, the swelling may actually present as a hard lump at the back of the heel.
Pain will likely increase if you flex your toes, point your feet downward, or stand on tiptoe since these motions squeeze the bursae.
If you notice any of these symptoms accompanied by a fever, it’s important to seek medical help quickly. While unusual, it is possible for the bursae to become infected and even rupture, a serious condition known as septic retrocalcaneal bursitis.
Bursitis or Heel Pain from Plantar Fasciitis?
While the heel pain associated with retrocalcaneal bursitis or Achilles bursitis can be very similar to the pain from plantar fasciitis, there are a few big differences.
Most importantly, the pain from plantar fasciitis is almost always the worst first thing in the morning, and typically improves somewhat as the fascia stretches and warms up. Heel pain from bursitis, on the other hand, is usually better in the morning, only to get gradually worse throughout the day.
Many stretches that help plantar fasciitis will aggravate an inflamed, swollen bursa. If you think you have plantar fasciitis, but find that stretching makes the pain worse, you may want to consider the possibility that bursitis is involved.
Keep in mind that if you have plantar fasciitis or heel spurs, you may be at greater risk for developing bursitis, because of the overlap in risk factors for bursitis that caused your plantar fasciitis to develop (including ill-fitting footwear and overuse of the feet).
Treatment Options and Advice
The majority of cases of bursitis, especially if addressed properly early on, can be treated successfully in the comfort of your own home. Effective, conservative treatment methods include the following:
- Rest. Take a break from any activity that worsens pain
- Ice. Apply an ice pack several times each day to reduce swelling and inflammation in the bursae
- Use NSAIDs as needed for pain and to decrease inflammation
- Wear supportive, comfortable shoes that keep the heel from rubbing or slipping around. Running shoes, which typically have a protective notch for the Achilles tendon, are especially helpful.
- Orthotic inserts can greatly improve the amount of support and cushioning your feet get as you walk and move, and can also help correct gait abnormalities due to an arch weakness that may be exacerbating the strain on your bursae.
If your heel pain and bursitis do not resolve with these conservative treatments, your doctor may recommend medical treatments such as corticosteroid injections, antibiotics, and surgery as a last resort.
While bursitis can be very painful, the good news is that most cases are successfully resolved without medical intervention. By recognizing the signs and paying attention to your body, you can nip bursitis in the bud before it takes a toll on your feet and health.
Good read and visual. I have planters thats under control. The visual explained what’s going on with my bursa. Ugg!
Hello! Sorry you are having pain. Wondering if you’ve found anything that’s worked for the bursitis?
Exactly what s caused mine😖
hi there, i think i have bursitis as i did some exercise i am not used to and now the back of my heel hurts. it hurts when i stretch my achilles tendon (point my toes upwards towards my face if i’m sitting on a chair) and throughout the day i can feel it hurting. after i have been walking, i will relax and when i get up, the pain is especially bad. there is no obvious bump or anything but if i press the skin behind my heel in some areas, it is tender and hurts to touch.
i am taking ibruprofen (an NSAID), icing my foot, elevating it… but i have a tournament for basketball this saturday. should i play or no?)
Thanks for the info. I find if I sit with my foot up all of a sudden my foot goes numb and I can hardly move my foot. Would I have squished a bursitis? Thanks Jill
A specialist said I have this condition. I ice and wear shoes without a back and arch support with lots of heel cushion. I have been in pain for 3 years. Aches constantly
I have it for 3 years as well. I am in a lot of pain. I have orthothotics – and a heel cup. No difference in pain. Can’t walk hardly at all. Booked in for a steriod injection
The back of my heel is causing me terrible pain, to touch, to walk etc. I’ve tried icing, wraps nothing seems to take the pain away. I’m 57 and have lived a very active life. It’s getting the best of me.
Hello , I woke up with severe pain left heal. The pain is in the back of the heel about middle. I can’t walk, only on my tip toes and pain in the middle of bottom heel of I push on it. Started 3 days ago. Taking 800 ibuprofen keeping up and cold wrap, it feels a little better. I know no insurance harmony much cash (social security) if I have to go I will but scared.. hate to wait if it makes it worse. Should I keep doing what I’m doing. The only thing I can think I did was got out of a truck wrong Saturday.
What if you have both. I have been diagnosed with both. My bursitis is in the bottom of my heal. I’m not sure what to do anymore. It hurts so bad. I have ha shot and orthopedic inserts. The Dr said I have a bone spur but that wasn’t the source of my pain.
I finally got some help after 3 years of heel pain and moderate limping- I wear a boot/splint at night and when relaxing – I have a heavy duty 6 strap boot I can wear to walk if I want – not so much tho – increasing vitamin D and using Diclofenac topical gel 3x a day …. noticed great relief from burning and walking better within a few days …. takes discipline to apply gel and keep boot on , but worth it!! Sam
I wake up and my heels are burning. After I get up and walk on the cold floor and stretch them out, I get some relief. What do you think is causing this? I also get stabbing pains intermittently in my left foot only. It’s on the side of my foot. I have to put a Salonpas pad on it to disrupt it!